ΥΓΕΙΑ
-
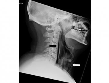
Κράτησε το φτέρνισμά του και τρύπησε ο λαιμός του!
Καταπιέζοντας το φτέρνισμα με το να κρατάμε σφιχτά κλειστά την μύτη και το στόμα μας κινδυνεύουμε να προκαλέσουμε οργανικές βλάβες, προειδοποιούν οι γιατροί και επικαλούνται την περίπτωση ενός 34χρονο...
Read More » -
«Κόβετε» το φτάρνισμα; Δείτε ποιους σοβαρούς κίνδυνους κρύβει αυτή η κακή συνήθεια
Χειμώνας και το… φτάρνισμα έχει την τιμητική του καθώς οι ιώσεις δίνουν και παίρνουν μεταξύ μικρών και μεγάλων. Σε μια προσπάθεια να προστατεύσουν τους γύρω τους από τα γεμάτα μικρόβια...
Read More » -
Ιαπωνία: Πούλησαν δηλητηριώδες ψάρι καταλάθος - Δεν υπάρχει αντίδοτο αν καταναλωθεί (φωτό)
Το περίφημο ψάρι fugu από το οποίο αν δεν αφαιρεθεί το συκώτι του μπορεί να σκοτώσει όποιον το καταναλώσει, έχει πωληθεί από ένα σουπερμάρκετ της Ιαπωνίας, καταλάθος.Τρώγοντας το συγκεκριμένο ψάρι μπο...
Read More » -
Κι όμως αυτές οι 5 συνηθισμένες τροφές μπορεί να σε σκοτώσουν αν…!
Ότι υπάρχουν δηλητηριώδη μανιτάρια, ψάρια ή καρποί το ήξερες, ακόμη και αν δεν ξέρεις ποια ακριβώς είναι αυτά. Θα μπορούσες να το φανταστείς όμως ότι το νερό μπορεί να σε στείλει; Αυτά τ...
Read More » -
Προσοχή! Η πολλή τηλεόραση μας κάνει να τρώμε 500 έξτρα σνακ το χρόνο
Οι έφηβοι που παρακολουθούν περισσότερες από τρεις ώρες τηλεόραση τη μέρα και «βομβαρδίζονται» από διαφημίσεις, μεταξύ άλλων για διάφορα ανθυγιεινά και παχυντικά φαγητά και ποτά. Στη σ...
Read More » -
Η πλαστική ουσία που τρώμε κάθε μέρα και δεν το γνωρίζουμε!
Αρχικά κατασκευάστηκε για τη χρήση σε γαλοπούλες ως τροφή πάχυνσης. Όταν από την χρήση πέθαναν οι γαλοπούλες, οι επενδυτές που είχαν ξοδέψει αρκετά κεφάλαια για την έρευνα ήθελαν να κάνο...
Read More » -
Πόνος στο αφτί: Σπιτικά γιατροσόφια και πότε πρέπει να επισκεφτείτε γιατρό
Ο πόνος στο αυτί μπορεί να είναι οξύς, βουβός, με αίσθημα καύσου, σταθερός ή αυξομειούμενος. Αν και είναι πολύ συνηθισμένος, ειδικά στα παιδιά, μπορεί να επιβαρύνει την καθημερινότητά ...
Read More » -
Ουκρανία: Ένα από τα αποτελέσματα του πολέμου ήταν η αύξηση του ιού HΙV λόγω των μετακινήσεων
Χιλιάδες εκτοπισμένοι κάτοικοι, μολυσμένοι με τον ιό, έχουν αναγκαστεί να μετακινηθούν μακριά από τις περιοχές των συγκρούσεων που είχαν ξεσπάσει το 2014, με αποτέλεσμα να αυξηθεί ο κίνδυνος λοίμωξης ...
Read More » -
Έρευνα Ελλήνων επιστημόνων: Ο πόλεμος στην Ουκρανία κλιμάκωσε την εξάπλωση του HIV
Η σύγκρουση στην Ουκρανία αύξησε τον κίνδυνο λοίμωξης από τον ιό HIV του AIDS στη χώρα, καθώς πολλές χιλιάδες εκτοπισμένοι κάτοικοι, μολυσμένοι με τον ιό, έχουν αναγκασθεί να μετακινηθού...
Read More » -
Γιατί έχουμε ζαρωμένα δάχτυλα μετά το μπάνιο; – Η απάντηση θα σας αφήσει άφωνους!
Βρετανοί ερευνητές σε πανεπιστήμιο του New Castle, έχουν επιβεβαιώσει ότι είναι πολύ πιο εύκολο να χειριστεί κανείς τα υγρά αντικείμενα όταν τα δάχτυλά του είναι «τσαλακωμένα», παρά όταν...
Read More »