ΥΓΕΙΑ
-
5 τρομακτικά πράγματα που παθαίνει ο οργανισμός σου όταν τρως πολλή ζάχαρη
Τι παθαίνει ο οργανισμός σου όταν τρως πολλή ζάχαρη και τι ακριβώς συμβαίνει στο σώμα σου μετά από ένα... φεστιβάλ γλυκόζης εντός σου;Η επιδερμίδα σου υποφέρειΉξερες ότι τα σπυράκια και οι κοκκινίλες ...
Read More » -
Tι... σχέση έχουν οι άνθρωποι με τις μπανάνες;
Το DNA, τα γονίδια και πόσα μοιραζόμαστε με μια μπανάναΌλη η ζωή στη Γη μοιράζεται τον ίδιο βασικό κώδικα: το DNA. Και επειδή όλα τα ζωντανά πράγματα στη Γη μοιράζονται έναν κοινό πρόγονο, ο κώδικας D...
Read More » -
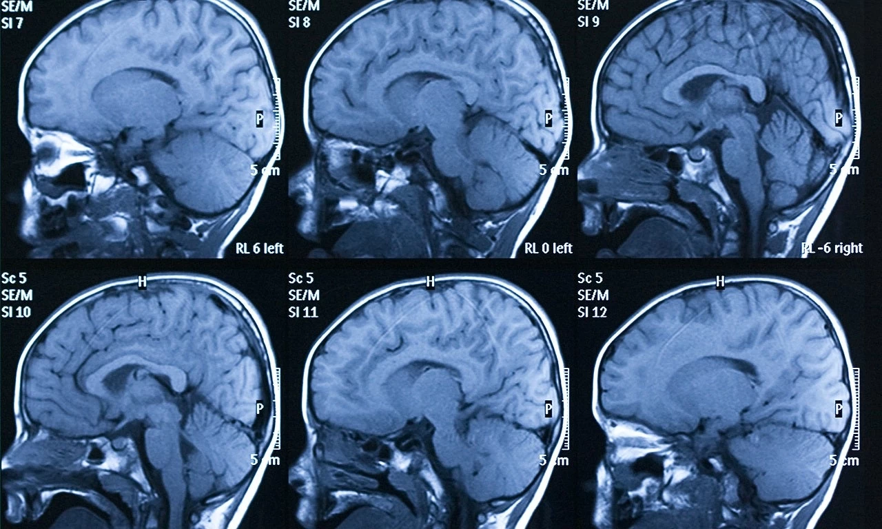
Η τεχνητή νοημοσύνη εντοπίζει τις εγκεφαλικές αιμορραγίες – Μεγάλη βοήθεια για τους ακτινολόγους
Έναν νέο αλγόριθμο τεχνητής νοημοσύνης, που τα καταφέρνει καλύτερα και από έμπειρους ακτινολόγους στην ανίχνευση μικρών εγκεφαλικών αιμορραγιών, ανέπτυξαν ερευνητές στις ΗΠΑ. Η εξέλιξ...
Read More » -
Τι τρώμε; Άλλο ένα κρούσμα με χαλασμένα κρέατα - Εντοπίστηκαν 719 κιλά χαλασμένου κρέατος στον Πειραιά
Μετά το περιστατικό με το γύρο κοτόπουλου μολυσμένου με σαλμονέλα, το υγειονομικό εντόπισε νέα επικίνδυνα κρέατα στον Πειραιά, δημιουργώντας ερωτήματα σχετικά με την ποιότητα του φαγητού που φτάνει στ...
Read More » -
Η “αθώα” ελιά 37χρονου αποδείχτηκε μελάνωμα – Του έκοψαν 40 εκ. δέρματος για να σωθεί – Εικόνες σοκ!
Ένας άντρας διαγνώστηκε με μελάνωμα τον Νοέμβριο του 2018 και μετά από δεκάδες βιοψίες και εγχειρήσεις στο σβέρκο και την πλάτη του, οι γιατροί κατάφεραν να του σώσουν τη ζωή από μια σπ...
Read More » -
Ιδού τι τρώμε! Πάνω από 700 κιλά αλλοιωμένα κρέατα σε επιχείρηση του Πειραιά
Στην κατάσχεση μη ασφαλών ακατάλληλων για κατανάλωση κρεάτων συνολικού βάρους 719 κιλών, προχώρησαν οι ελεγκτές τροφίμων της Διεύθυνσης Αγροτικής Οικονομίας και Κτηνιατρικής Πειραιά. ...
Read More » -
Αυτά είναι τα μυστικά για να μην χρειάζεστε δίαιτα και να διατηρείστε
Αφού ολοκληρώσατε τη δίαιτα και φτάσατε στο επιθυμητό βάρος, το ζητούμενο είναι να μείνετε στα ίδια κιλά. Άλλωστε, η επιτυχία ενός διατροφικού προγράμματος δεν εξαρτάται μόνο από την απώλεια βάρους αλ...
Read More » -
Ποια συμπτώματα δείχνουν καρκίνο στον λαιμό και όχι ίωση;
Ένας επίμονος πονόλαιμος, δυσκολία στην κατάποση και πρησμένοι αδένες είναι όλα συμπτώματα κρυολογήματος, ή πυρετού, αλλά μπορούν επίσης να είναι σημάδια ενός σπάνιου, αλλά θανατηφόρου καρκίνου.Ο καρκ...
Read More » -
Ποια συμπτώματα δείχνουν κατάθλιψη;
Ο σύγχρονος τρόπος ζωής, η δυσκολία στις προσωπικές σχέσεις, η οικονομική κρίση, είναι μερικοί μόνο από τους εκλυτικούς παράγοντες ψυχικών διαταραχών. Την ίδια ώρα, προβλήματα στις ορμόνες και στη χημ...
Read More » -
Πόνος στο αυτί: Τι τον προκαλεί και πώς αντιμετωπίζεται
Ο πόνος στο αυτί που οφείλεται σε κρυολόγημα είναι οξύς, θαμπός, μπορεί να έχει και αίσθημα “καψίματος”, ενώ κυμαίνεται από ήπιος έως πολύ επώδυνος. Ακόμη και αν το παγιδευμένο υγρό στο αυτί δεν έχει ...
Read More »