ΥΓΕΙΑ
-
Τί πρέπει να κάνετε σε περίπτωση εγκαύματος!
Ένα ατύχημα στην κουζίνα με καυτό νερό, ή καυτό λάδι, ή αν ακουμπήσουμε κατά λάθος στον καυτό φούρνο, είναι αρκετό για να πάθουμε έγκαυμα.Είτε πρόκειται για ένα μικρό έγκαυμα, είτε για πιο μεγάλο, είν...
Read More » -
Πνευμονικό Οίδημα: Ποια συμπτώματα πρέπει να προσέξετε!
Προσοχή στα συμπτώματα! Πνευμονικό οίδημα είναι μια κατάσταση που προκαλείται από την συσσώρευση υγρού στους πνεύμονες. Αυτό το υγρό συλλέγεται στους πολυάριθμους θύλακες αέρα στους πνεύμονες, καθιστώ...
Read More » -
Οι ιατροδικαστές προειδοποιούν: Τα τροχαία που γίνονται Πρωτοχρονιά οφείλονται στο αλκοόλ -Η σωστή κατανάλωση
Το ότι τις γιορτινές ημέρες αυξάνεται η κατανάλωση αλκοόλ –δυστυχώς- δεν είναι είδηση. Είναι όμως είδηση, και μάλιστα πλέον επιστημονικά τεκμηριωμένη, πως λόγω της κατανάλωσης αλκοόλ προ...
Read More » -
Οι τροφές που καθαρίζουν τις αρτηρίες – Διατροφή για την καρδιά
Εάν ο στόχος σας είναι να αποκαταστήσετε ή να διατηρήσετε την υγεία της καρδιάς σας, τότε πρέπει να ξέρετε ότι υπάρχει μια ποικιλία τροφών που μπορεί να σας βοηθήσει να μειώσετε τη συσσώ...
Read More » -
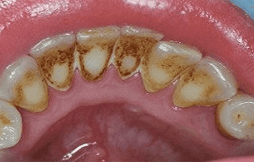
Δείτε πώς να αφαιρέσετε την οδοντική πλάκα με φυσικές συνταγές
Όλοι γνωρίζουμε ότι, όταν πρόκειται για την αφαίρεση της πλάκας, ο οδοντίατρος θα κάνει τη δουλειά τέλεια… Ωστόσο, υπάρχουν πολλές φυσικές συνταγές μέσω των οποίων μπορείτε να απαλλαγε...
Read More » -
Αδυνάτισμα: Τι είναι ο νέος κανόνας 400-600-600
Νέες επίσημες οδηγίες για την κατανάλωση θερμίδων αναμένεται να ανακοινωθούν στην Μ. Βρετανία. Στόχος των επιστημόνων που τις κατάρτισαν είναι να βοηθήσουν τους ανθρώπους να διαχειριστούν καλύτερα το ...
Read More » -
Έχετε λόξιγκα; - Δείτε πως να τον κάνετε να σταματήσει γρήγορα!
Υπάρχουν πολλές θεραπείες και “γιατροσόφια” για τον λόξιγκα. Σε κάθε περίπτωση, όταν μας συμβαίνει, πρόκειται σίγουρα για κάτι ενοχλητικό, το οποίο σε κάποιες περιπτώσεις μπορεί να μας φέρει και σε δύ...
Read More » -
Έδωσε το μισό δέρμα του για να σώσει τη ζωή του δίδυμου αδελφού του (βίντεο)
Με μία πρωτοποριακή εγχείρηση, οι γιατροί κατάφεραν να σώσουν τη ζωή ασθενούς που είχε υποστεί εγκαύματα γ' βαθμού, κάνοντας μεταμόσχευση από το δέρμα του δίδυμου αδελφού του.Μία έκρηξη χημικών την ώρ...
Read More » -
Υποψήφια για τους καταλόγους της άυλης πολιτιστικής κληρονομιάς της Unesco η μακεδονική κουζίνα
Την εγγραφή της μακεδονικής κουζίνας στους καταλόγους άυλης πολιτιστικής κληρονομιάς της Unesco θα επιδιώξει η Περιφέρεια Κεντρικής Μακεδονίας. Ο φάκελος της υποψηφιότητας έχει ετοιμαστεί, στο πλαίσιο...
Read More » -
Βότανα και θεραπεία: Χρήση και κίνδυνοι
Τα τελευταία χρόνια στρεφόμαστε όλο και περισσότερο στα βότανα, επιδιώκοντας να βρούμε μία εναλλακτική-φυσική λύση τουλάχιστον για τα ήπια προβλήματα που μας απασχολούν. Ποια όμως από όλα αυτά που κυκ...
Read More »