ΥΓΕΙΑ
-
8+2 λόγοι που δεν χάνουμε κιλά
Άλλοι βάζουν στόχο με τη νέα χρονιά να χάσουν μερικά παραπανίσια κιλά, άλλοι να μειώσουν το αλκοόλ και άλλοι να ξεκινήσουν τη γυμναστική, όμως συχνά οι προσπάθειες να χάσουμε κιλά πέφτουν στο κενό.Ποι...
Read More » -
Το «μαγικό» βότανο που προστατεύει από τον καρκίνο
Υπάρχει ένα βότανο, που έχει πολλές θρεπτικές ουσίες μέσα σε λίγα γραμμάρια. Ταυτόχρονα είναι τροφή χαμηλή σε θερμίδες, αλλά πλούσια σε ευεργετικά θρεπτικά συστατικά, όπως βιταμίνες, μέταλλα και αντιο...
Read More » -
Η νικοτίνη είναι η 3η πιο εθιστική ουσία στον κόσμο – Ποιες είναι οι μοναδικές δύο που την ξεπερνούν
Μια ομάδα εμπειρογνωμόνων ταξινόμησε τις πέντε πιο εθιστικές ουσίες στον κόσμο. Και πολλές από αυτές τις ουσίες είναι νόμιμες. Ποιες είναι αυτές και πώς μπορούν να επηρεάσουν την ζωή σα...
Read More » -
Προσοχή στην κακοκαιρία για κάποιους ασθενείς – Δεν μας φτάνει το ψύχος, έχουμε ελλείψεις και …ευτράπελα
Βρέφη, ηλικιωμένοι, ανοσοκατασταλμένοι, άτομα με μυοσκελετικά προβλήματα, καρδιοπαθείς, είναι μερικές μόνο από τις κατηγορίες πολιτών που το επόμενο 3ήμερο είναι προτιμότερο να παραμείνο...
Read More » -
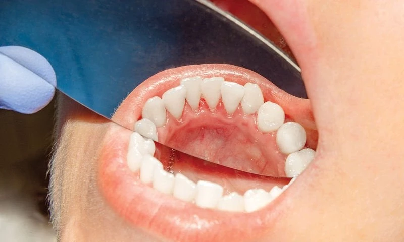
Τα συμπτώματα του στόματος που δεν πρέπει να αγνοήσετε
Πότε πρέπει να επισκεφθείτε τον γιατρό Αυξάνονται τα κρούσματα καρκίνου στόματος και γλώσσας στους δυτικούς πολιτισμούς, με συνεχώς αυξανόμενη επίπτωση και στις νέες ηλικίες. Στην Ελλά...
Read More » -
Η φετινή γρίπη είναι το ίδιο στέλεχος του ιού Η1Ν1 που “θέρισε” 50 εκατ. ανθρώπους πριν 100 χρόνια!
Η γρίπη βρίσκεται, πλέον, στο ζενίθ της και, σύμφωνα με το αμερικανικό Κέντρο Ελέγχου και Πρόληψης Νοσημάτων (CDC), φέτος κυριαρχεί το στέλεχος που είναι γνωστό ως H1N1. Πρόκειται για ...
Read More » -
Aντέχεις να το παρακολουθήσεις; – Όποιος βλέπει αυτό το 6 δευτερολέπτων βίντεο, κόβει επιτόπου το τσιγάρο!
Το ότι το κάπνισμα βλάπτει σοβαρά την υγεία αντικαπνιστικής εκστρατείας, εκτός από… σλόγκαν, έχει γίνει εδώ και πολλά χρόνια συνείδηση σε όλους μας. Αλλά όσο και αν το αναγνωρίζουν όσο...
Read More » -
Τι είναι το σύνδρομο Turner και γιατί εμφανίζεται στα κορίτσια
Το σύνδρομο Turner περιγράφηκε το 1938 από τον Αµερικανό ενδοκρινολόγο Henry Turner καθώς και από τον Γερμανό Otto Ullrich.Οι άνθρωποι έχουν φυσιολογικά 46 χρωμοσώματα από τα οποία τα δύο αποτελούν τα...
Read More » -
Αυτές οι 5 συνηθισμένες τροφές που μπορεί να σε σκοτώσουν!
Ότι υπάρχουν δηλητηριώδη μανιτάρια, ψάρια ή καρποί το ήξερες, ακόμη και αν δεν ξέρεις ποια ακριβώς είναι αυτά. Θα μπορούσες να το φανταστείς όμως ότι το νερό μπορεί να σε στείλει; Αυτά τα 5 πολύ διαδε...
Read More » -
Αν πετάτε τις φλούδες από τις πατάτες ήρθε η ώρα να σταματήσετε! - Προστατεύει από τον καρκίνο
Είναι πολλοί αυτοί που υποστηρίζουν ότι οι πατάτες πρέπει να καθαρίζονται προτού μαγειρευτούν, όμως, εξίσου πολλοί είναι κι αυτοί που υποστηρίζουν το αντίθετο προβάλλοντας τα αντίστοιχα επιχειρήματα. ...
Read More »