ΥΓΕΙΑ
-
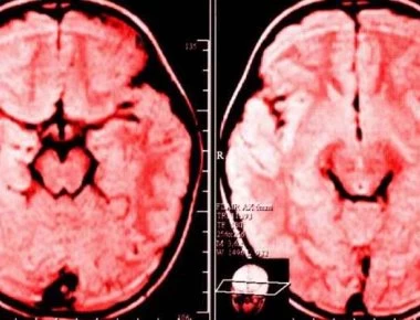
Ελπίδες για τους ασθενείς του Αλτσχάιμερ δίνει νέα θεραπευτική μέθοδος
Οι μελέτες για τον μελλοντικό αριθμό των ασθενών είναι απογοητευτικές. Ωστόσο, γίνονται προσπάθειες για να μετατραπεί η νόσος σε ιάσιμη. Έναν νέο θεραπευτικό στόχο για την αντιμετώπισ...
Read More » -
Επεξεργασμένα τρόφιμα και πρόωρος θάνατος: Τι δείχνει η νέα έρευνα γύρω από τη διατροφή
Επεξεργασμένα τρόφιμα; Γρήγορο φαγητό; Μήπως τελικά δεν είναι και τόσο καλή ιδέα; Μια νέα έρευνα έδειξε πως σχετίζονται άμεσα με τον πρόωρο θάνατο. Η προειδοποίηση έρχεται από Γάλλους...
Read More » -
Αρτηριακή πίεση: Φυσιολογικές τιμές, υπέρταση και υπόταση – Τι κάνουμε σε κάθε περίπτωση
H αρτηριακή πίεση συνδέεται άμεσα με την γενικότερη υγεία και την ποιότητα ζωής του ατόμου. Οι τιμές για την αρτηριακή πίεση του αίματος εμπίπτουν σε τέσσερις γενικές κατηγορίες και κ...
Read More » -
Σε καραντίνα η Κρήτη: Θετικά τα μισά δείγματα στον ιό της γρίπης
Ο ιός της γρίπης βρίσκεται σε έξαρση στην Ελλάδα. Η περιοχή της Κρήτης φαίνεται να δεινοπαθεί. Τα μισά από τα δείγματα βγήκαν θετικά! Δεκάδες δείγματα αποστέλλονται καθημερινά στα εργα...
Read More » -
Ηπατίτιδα C: Άμεση εξέταση για τα άτομα που είναι γεννημένα από το 1945 έως το 1980
Οι περισσότεροι αδιαφορούμε για αυτές τις εξετάσεις λέγοντας τη γνωστή φράση «σε εμένα θα συμβεί». Οι ιατρικοί σύλλογοι, όμως, ενημερώνουν για τον κίνδυνο και καλούν για εξέταση για ηπατ...
Read More » -
Τρία παραδείγματα που όλοι νομίζουν ότι οδηγούν σε καρκίνο αλλά κάνουν λάθος
Υπάρχουν τρεις καταστάσεις που ίσως νομίζετε ότι οδηγούν σε καρκίνο, αλλά κάνετε λάθος.Για κάποιους, ο καρκίνος υποχωρεί μέσω χημειοθεραπείας, ή ακτινοθεραπείας, όπου υπάρχει πιθανότητα ακόμα και πλήρ...
Read More » -
Η τροφή που ρίχνει τη χοληστερίνη και αυξάνει την αντοχή στην κρεβατοκάμαρα
Οι βαθυκόκκινοι βολβοί τους δίνουν χρώμα στο τραπέζι (και στο τραπεζομάντιλο αν δεν προσέξουμε), ενώ οι γλυκιά γεύση τους δεν αφήνει κανέναν ασυγκίνητο. Τα απολαμβάνουμε με δεκάδες τρόπους και αυτά μα...
Read More » -
10 τεράστιες αλήθειες για όσους καπνίζουν στριφτό
Η μειοψηφία που λόγω της οικονομικής στενότητας έγινε πλειοψηφία, είναι η κρεμ ντε λα κρεμ των καπνιστών. Ή τουλάχιστον έτσι νομίζει.1. Η διαφορά ανάμεσα σ’ αυτόν που στρίβει όρθιος με το ένα χέρι και...
Read More » -
Ρουμανία: 38χρονος Ιταλός παρίστανε τον πλαστικό χειρουργό
Ένας Ιταλός, ο οποίος προσποιείτο τον πλαστικό χειρουργό συνελήφθη από τις ρουμανικές αρχές, καθώς μία γυναίκα που είχε υποβληθεί σε αυξητική στήθους εμφάνισε επιπλοκές.Οι ρουμανικές αρχές συνέλαβαν τ...
Read More » -
Γκρινιάζετε κάθε μέρα; Δείτε τι παθαίνει ο εγκέφαλός σας!
Τα τελευταία 20 χρόνια χάρη στην ταχεία εξέλιξη της απεικόνισης των ημισφαιρίων του εγκεφάλου και της νευροεπιστήμης μπορούμε να πούμε με βεβαιότητα ότι ο εγκέφαλος είναι σε θέση να κάνει ανασχεδιασμό...
Read More »